Au Laboratoire dentaire Émail Santé, à Nantes, nous fabriquons des prothèses fixes conjointes : couronnes, onlays et bridges. Notre travail est exclusivement sans métal. Nous utilisons principalement la zircone et la céramique, en fonction des indications cliniques.
Prothèses fixes conjointes à Nantes
Une prothèse fixe conjointe permet de restaurer une dent ou de remplacer une dent absente, sans dispositif amovible pour le patient. Elle offre un contrôle précis des contacts, une bonne stabilité occlusale et une intégration durable dans l’arcade. L’indication dépend toujours du contexte clinique : volume de perte de substance, hauteur disponible et contraintes occlusales orientent le choix de la forme et du matériau.
Couronne : restaurer et protéger la dent
Points de contrôle au cabinet pour une couronne :
La préparation doit présenter une limite nette et continue, sans angles vifs, avec une réduction suffisante pour garantir une épaisseur régulière de la pièce. Un champ opératoire maîtrisé facilite la lecture des limites. Le contrôle de la mobilité dentaire permet ensuite d’assurer un ajustage proximal fiable.

Inlays – Onlay
Inlays cores titane anodisé :

Le titane est bio compatible et la couleur dorée évite le côté grisâtre d’un inlay core classique donc meilleure transmission lumineuse sous les couronnes céramiques ou zircone
Onlay : conserver du tissu et contrôler l’occlusion

L’onlay restaure une perte de substance localisée en recouvrant une ou plusieurs cuspides. Il permet souvent de préserver davantage l’émail périphérique et de limiter l’étendue de la préparation.
La réussite repose sur la maîtrise du collage : isolation du champ, contrôle de l’humidité et respect des épaisseurs minimales sont essentiels pour limiter le risque de décollement.
Indications courantes pour un onlay :
L’onlay est fréquemment indiqué sur une molaire fissurée, après une reprise de composite étendue ou lorsque la dent conserve des parois solides. Il permet alors d’éviter une couronne lorsque celle-ci n’est pas nécessaire.
Bridge : remplacer une dent absente
Le bridge remplace une dent absente par une travée appuyée sur une ou plusieurs dents piliers. Il rétablit la continuité de l’arcade et répartit les forces occlusales.
L’évaluation préalable du parodonte des piliers, du volume de substance disponible et des éventuelles parafonctions est indispensable afin d’éviter toute surcharge.

Conception du bridge et hygiène :
La conception du bridge doit anticiper l’accès à l’hygiène : pontique nettoyable, embrasures contrôlées et passage des brossettes facilité garantissent l’entretien à long terme.
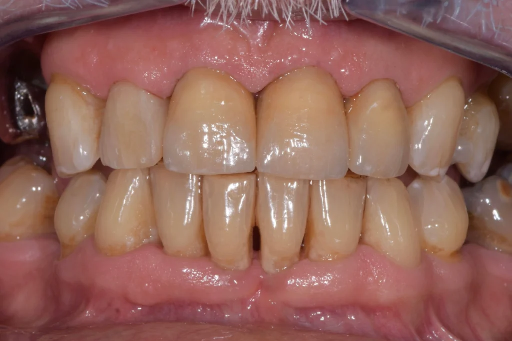
Cas cliniques
Ils illustrent les différentes étapes de prise en charge, de la préparation au choix de teinte, jusqu’à l’essayage et la pose de prothèses fixes conjointes. Ces exemples reflètent notre travail sans métal et notre attention portée à l’ajustage, à l’occlusion et au rendu final.
Cas clinique 1 :



Cas clinique 2 :



Matériaux sans métal à Nantes
Nous travaillons exclusivement sans métal, en cohérence avec l’identité du laboratoire Émail Santé. Les matériaux proposés s’adaptent aux contraintes cliniques et au budget, tout en garantissant un choix clair. La qualité du matériau ne remplace toutefois pas la préparation : des limites lisibles, une occlusion stable et des données fiables sont indispensables pour exprimer pleinement son potentiel mécanique et esthétique.
Mono zircone : une option simple pour de nombreux cas
Nous fabriquons des couronnes en mono zircone. Cette solution sans métal est particulièrement adaptée aux secteurs postérieurs soumis à des contraintes de charge. Nous réalisons également une couronne full zircone MONO en entrée de gamme. Le protocole clinique reste direct et la planification est facilitée.
Quand choisir la mono zircone :
Nous fabriquons des couronnes en mono zircone, particulièrement adaptées aux secteurs postérieurs soumis à de fortes contraintes. Cette solution sans métal offre un protocole clinique simple et une planification facilitée.
Full zircone : continuité et contrôle en prothèse fixe
Les restaurations en full zircone offrent un matériau homogène et des surfaces faciles à polir. Après ajustage, le risque d’usure par rugosité est limité. Les contraintes occlusales et les contacts attendus sont intégrés en amont afin d’optimiser la morphologie avant finition.
Choisir la zircone selon l’occlusion :
Vous repérez les interférences en latéralité, les contacts en propulsion et les facettes d’usure. Ces éléments guident le design occlusal.
Zircone stratifiée : travailler la zone esthétique
La zircone stratifiée est indiquée lorsque la gestion de la texture et de la translucidité est essentielle. Elle permet de travailler plus finement les transitions de teinte et d’obtenir un rendu plus naturel en zone antérieure. L’envoi de photos de teinte, ainsi que les indications de valeur et de caractérisation, permet de cadrer précisément la stratification.
Points clés pour une stratification cohérente :
Respectez l’espace disponible pour la stratification. Une réduction insuffisante est à éviter. La stabilisation de la ligne gingivale avant empreinte améliore la lecture des limites.
Céramique pressée : option selon la préparation
Nous réalisons également des onlays et des couronnes en céramique pressée. Cette option sans métal s’intègre sur des préparations adaptées et reste indiquée pour des cas ciblés. Nous définissons le type de finition, la teinte et la saturation selon vos indications afin d’ajuster la caractérisation si nécessaire.
Questions fréquentes sur les prothèses fixes conjointes :
Quand privilégier la zircone stratifiée à Nantes ?
Elle est indiquée en zone antérieure, lorsque le patient recherche une texture plus détaillée ou lorsque la teinte nécessite une gestion fine.
Comment limiter les ajustements au fauteuil ?
L’envoi de données fiables, une occlusion stabilisée et des photos de teinte cohérentes permettent d’optimiser le design avant fabrication.
Que faire si une limite reste difficile à lire ?
Contactez le laboratoire dès le doute, avec une photo macro de la préparation ou une capture de scan, afin de définir la meilleure solution ensemble.

Laboratoire Émail Santé à Nantes
Vous souhaitez confier vos prothèses fixes conjointes à Nantes à notre laboratoire. Contactez-nous avec votre prescription et vos données. Nous validons ensemble le matériau, le délai et les points sensibles avant fabrication, pour gagner en régularité lors des poses.